歯根破折に対する抜歯即時インプラント治療(60代男性)
歯根破折により抜歯が必要となった60代男性の症例です。

抜歯当日にインプラントを埋入し、仮歯まで行う抜歯即時インプラント治療を行いました。
歯が割れてしまった為、抜歯が必要です。
抜歯した当日にインプラントまで埋入していきます。


長いインプラントが骨の中にしっかり入りました。
頬側は骨が足りない為、骨補填材を入れ、また失った歯茎(結合組織)も一緒に入れてボリュームを作ります。



5〜6か月後に来院頂きます。
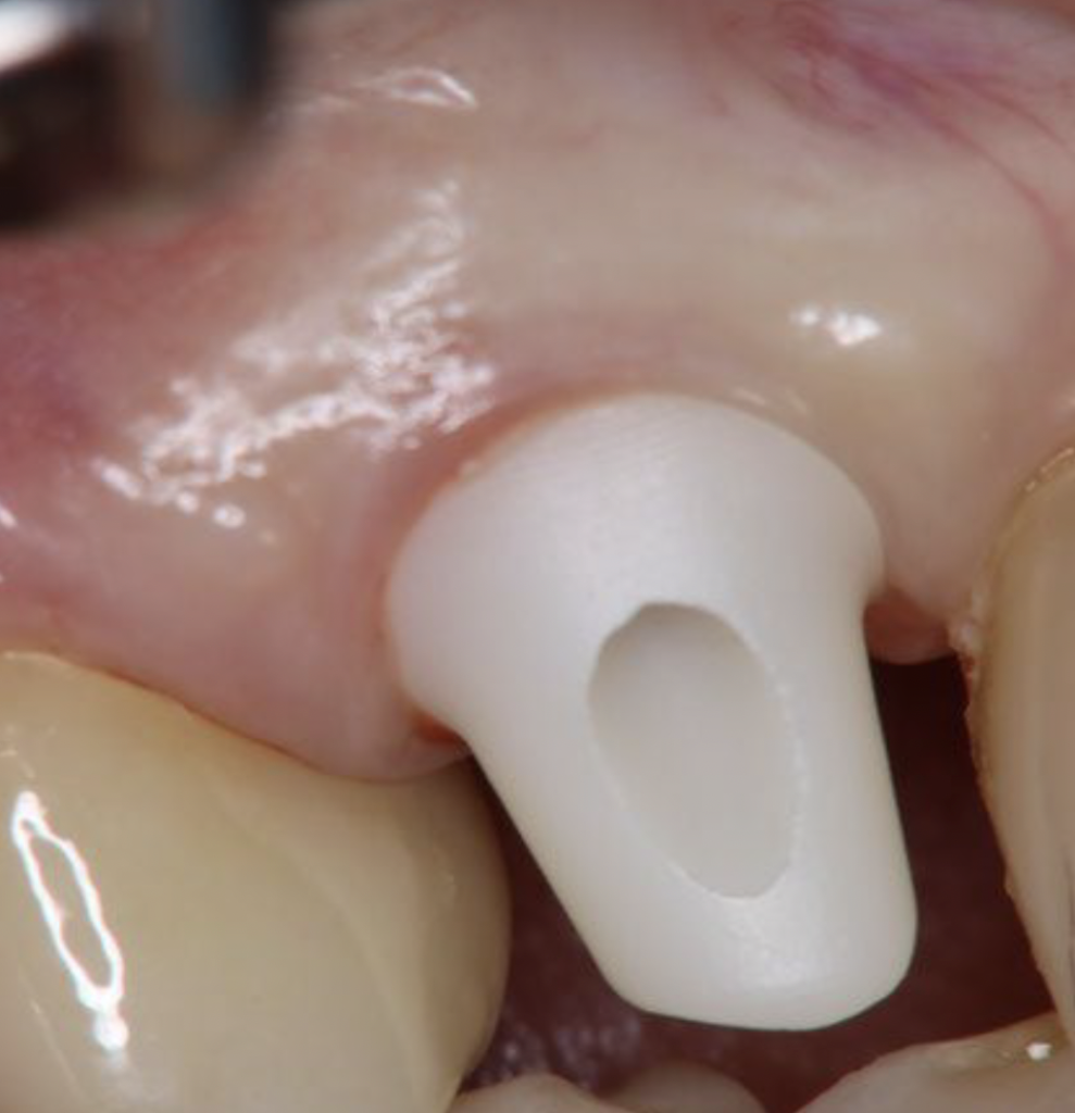
綺麗な歯茎が出来上がりました。
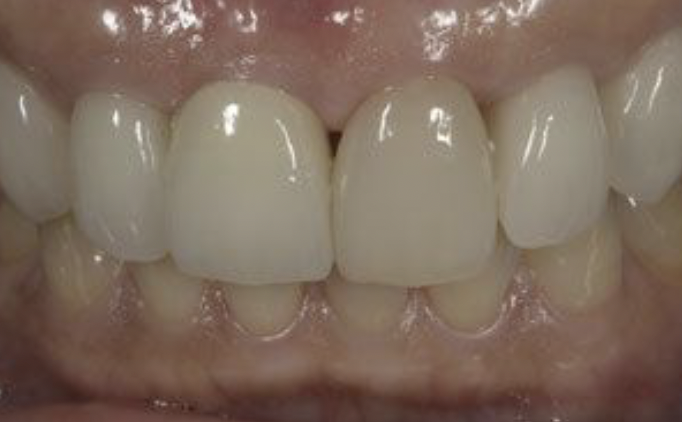
仮歯を外してインプラントの土台を入れ、これに被せもの(セラミックス)を入れて完成です。
抜歯からわずか6ヶ月程で完成です。


すぐに対応してもらえて、見た目の不安も少なく治療を受けられました。
安心してお任せできたと思います。
