用賀駅から3分の歯医者です。スリーデンタルクリニック用賀では、虫歯治療・矯正・インプラント・お子様の治療など、患者様にとって最善の処置を目指します。お気軽にお越しください。

治療例(症例集)

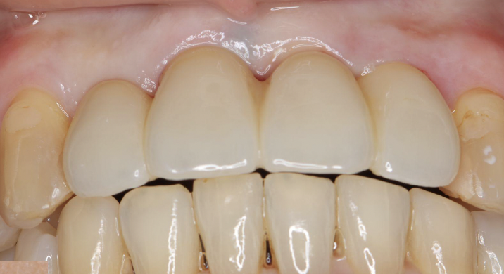
【インプラント】治療例(症例集)CASE02

歯周病による前歯部抜歯即時インプラント症例(50代女性)

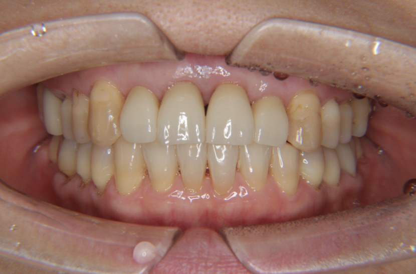
50代女性です。歯周病で歯の揺れが治まらず、前歯4本の抜歯となりました。
当日、抜歯とインプラントを同時に入れました。

4本抜歯して2本のインプラントを入れました。

手術直後、1週間後の抜糸時、3か月後の写真です。

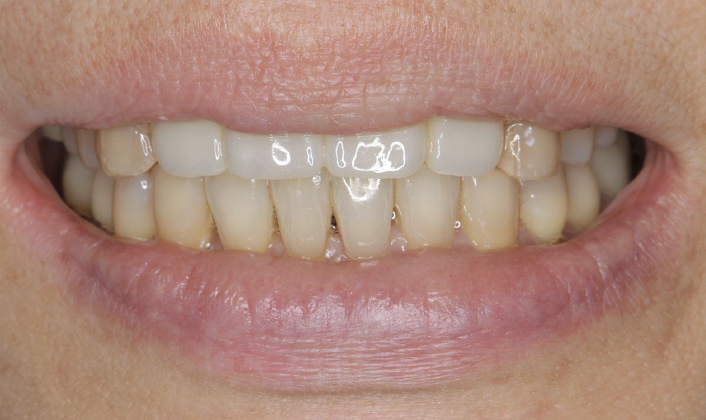
抜歯、インプラント埋入から6か月後に完成しました。

歯周病には気をつけてたつもりでしたけど、気づいたら前歯4本を抜くことに…。正直どうなるか分からなくて不安でした。見た目も心配でしたが、抜歯と同時に治療してもらえて、思ったより落ち着いて過ごせました。無事に治療が終わって、今はほっとしています。

関連記事